Esthetic Composite Restorations



Esthetic Composite Restorations

How many times a day do we smile? Whatever number you choose, it will not suffice! A smile not only cheers you and your interlocutors up but also promotes creative abilities. We will look after your smile and ensure it is as close to perfect as possible!

Esthetic Composite Restoration:

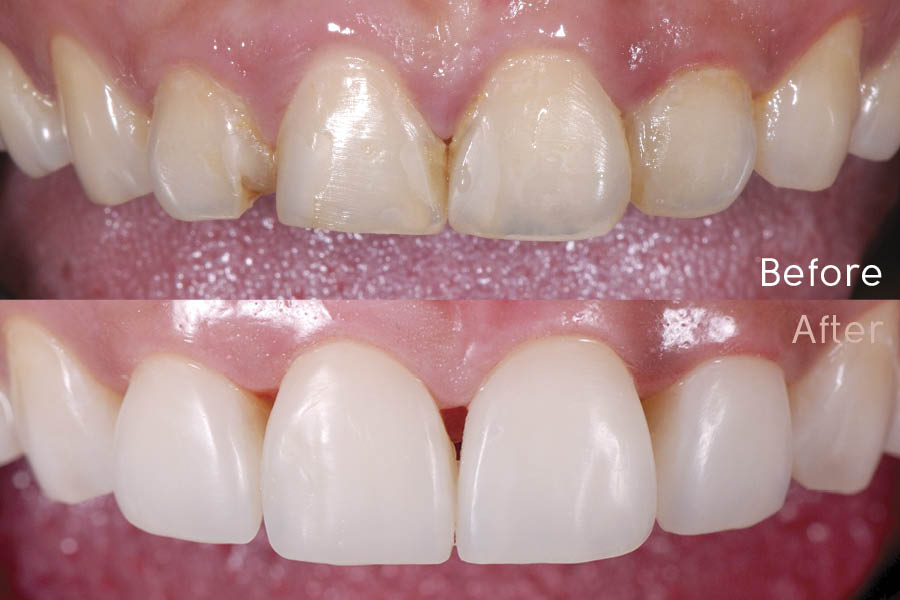
The reproduction of natural tooth form, colour, transparency, and other optical and physical properties using modern filling materials is known as "Esthetic Composite Restoration." Nowadays, dentists have access to various materials and technologies that allow them to replicate the original appearance of natural teeth. A doctor becomes an artist and sculptor of your smile during restoration. There are two approaches to artistic restoration: direct (filling) and indirect (prosthetics).

  • Direct artistic restoration occurs in the mouth cavity. A doctor-restorer creates a new tooth by applying a layer of restoration material after another.
  • The indirect technique of artistic restoration entails the creation in a specialised laboratory of veneers (protective onlays), inlays, or crowns and their placement over a tooth.

In the following cases, we recommend direct esthetic restoration:

  • A tooth defect caused by caries or uncarious defeats that appeared during the tooth formation and development stage.
  • Tooth traumas.
  • Correction of tooth size and position, or closure of fissure.
  • Visible enamel structure violations (spots, erosions), local tooth discolouration.

Before beginning the procedure, a doctor will choose the colour of the filling material that will best match the colour of your teeth and also anesthetize it. Thus, during direct restoration (stopping), our clinic's specialists always save as many tooth tissues as possible that have not been altered by a peculiarity, removing only nonviable tissues in the defect area. We use a "caries detector"—a special dye that pops up on pathologically changed tooth tissues—for this purpose.

At Manoj Dental Care, we only use modern, dependable, and color-stable photo resin materials for artistic restorations. They are simple to polish and resistant to abrasion and food colouring. The enamel and dentine of a tooth are rebuilt by different hardness and transparency restoration materials that are mechanically and visually similar to tooth tissues, restoring the structure of the tooth layer by layer.

Indirect Restorations: The Porcelain Filling

Ceramic veneers are one of the most recent achievements in esthetic stomatology.

Veneers are thin ceramic plates (about 0.5 mm thick) glued to the front surfaces of teeth. It aids in avoiding the removal of a tooth nerve. Teeth remain "alive" and look fantastic!

Simply put, smile! Consult our dentists if you want to learn more about esthetic composite restoration.

Call Us Now or For More Information Click Here