Full Mouth Rehabilitation



Full Mouth Rehabilitation

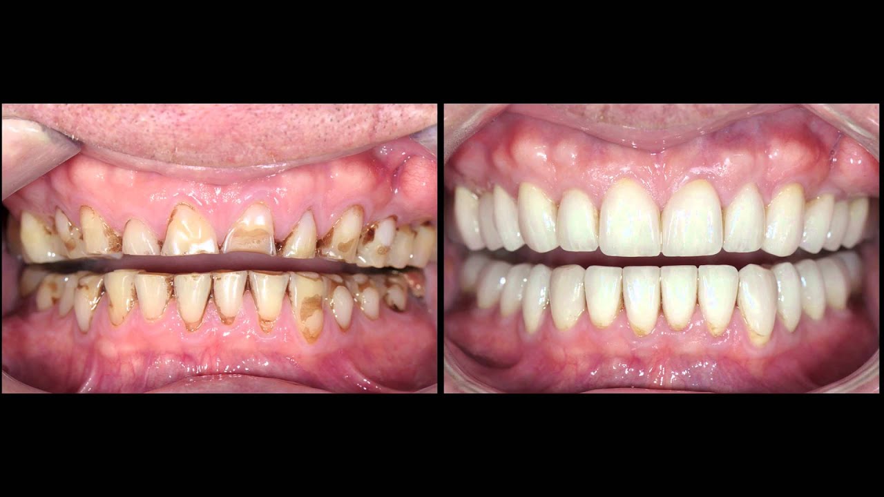
Full mouth rehabilitation entails the combination of restorative dentistry treatments used to repair or restore your smile. Not only do we want you to be able to smile again, but we also want to restore and build your healthy oral tissues and tooth structures. The treatments that comprise your complete mouth reconstruction are determined by the individual problems impacting your smile. We will extensively discuss your dental difficulties and what combination of treatments can restore your smile in a conservative, minimally invasive approach during your consultation.

The Purpose of Restorative Dentistry:

Dental repair is not an option; it is a requirement because your teeth cannot heal from damage or infection on their own. If a chipped edge, cracked surface, or even a little cavity is allowed to worsen due to a lack of care, it will pose a crucial risk to your oral health.

A tooth filling or dental crown may be able to restore a single problematic tooth in many circumstances. However, many people have multiple concerns with many teeth or the gum tissues surrounding them. Restorative dentistry is to restore the health of your smile; when this needs more than one surgery, full mouth reconstruction may be the solution.

Creating a Full Mouth Rehabilitation Plan:

We offer different services to meet specific needs, whether your teeth are damaged, infected, or gone, or your gums are sick and require periodontal therapy. Your full mouth reconstruction may entail the following procedures, depending on your condition:

  • Dental crowns are used to cover, protect, and restore teeth.
  • Use porcelain veneers to improve the appearance of several teeth at once.
  • Dental implants for comprehensive tooth replacement
  • TMJ treatment to enhance your bite’s function and alleviate jaw discomfort

Call Us Now or For More Information Click Here